Ramenní kloub je jedním z nejsložitějších kloubů v lidském těle. Je to kloub spojující pažní kost s pletencem horní končetiny (lopatka, klíční kost). A protože je ramenní kloub schopen předpažení, zapažení, připažení, vzpažení, zevní a vnitřní rotace (uf…), dochází tady k nejčastějším vykloubením neboli luxacím. Pro nás, vodáky, a zvláště pak pro kajakáře, je to taková nepříjemná Achillova pata.
Při luxaci dochází k posunu hlavice kloubní mimo jamku. Nastává při přímém či nepřímém působení tak velké síly na kloub, že dojde k posunutí kostí v kloubu z jejich normálního postavení Stejný účinek může mít i náhlé prudké stažení silných svalů. Pokud nedojde k jejímu navrácení zpět, zůstává končetina ve vynucené poloze. A máme tady vyhozené rameno.
K vykloubení ramene u pádlistů obvykle dochází při zevní rotaci, když je paže zdvihnutá nad 90 º, k čemuž obvykle dochází při nesprávné technice závěsu nebo při zvedání. A také, jak už jsme říkali, při stažení silných svalů, neboli při prudkém nepřiměřeném záběru. Vodák s načatým ramenem může nakonec k luxaci přijít klidně i při oblékání do neoprenu nebo při věšení smradlavé moiry na napnutou házečku.
Vykloubení je vždy provázeno velkou bolestí, která je často spojena i s celkovou nevolností, kdy postižený může i omdlít. Postupně dochází k rozvoji otoku a krevního výronu, je patrná deformace poškozeného kloubu. S kloubem je možno hýbat jen ve velmi omezeném rozsahu, nebo vůbec.
Jsme-li v dosahu nemocnice nebo odborné pomoci, poskytneme postiženému pouze první pomoc.
Vykloubenou kost se nikdy nesnažíme vrátit do normální polohy. Hrozí totiž nemalé nebezpečí, že bychom mohli způsobit další poranění okolních tkání, cév a nervů. Někdy je velmi obtížné odlišit vykloubení od zlomeniny. Obě poranění mohou navíc nastat současně. Postiženou končetinu fixujeme nejlépe vypodložením měkkým podkladem, např. zmuchlanou vodáckou bundou. Polohu pro fixaci volí sám postižený, tedy takovou, při které ho ruka nejméně bolí (tzv. úlevová poloha). Končetinu je vhodné znehybnit použitím obvazů a dobré je poraněné místo chladit. Neodkladně zajistíme odbornou zdravotnickou pomoc. Rozhodujícím faktorem pro plné uzdravení je včasnost ošetření. Nečekejte ale, že si druhý den půjdete opět zapádlovat. Čeká vás alespoň dvoutýdenní fixace následovaná až tříměsíční rehabilitací.
Může se ale stát, že jsme v destinaci, kde je nejbližší špitál nebo aspoň lékař vzdálen několik dní, nebo i týdnů. Poté nezbývá než přistoupit k nápravě vykloubeného ramene v polních podmínkách. Existuje několik způsobů nápravných neboli repozičních manévrů. Nejčastěji používané jsou manévry tahem a protitahem (Arlt, Džanelidze, Hippokrates).
K prvnímu manévru jsou potřeba dva lidé a jako pomůcka kus textilie, např. mikina. Postižený leží na zádech, ošetřující provádí tah za končetinu pod úhlem cca 30 º od těla při zevní rotaci (dlaň vzhůru). Pomocník provádí protitah textilií podvlečenou pod trupem do podpaží.
Současným tahem, protitahem a zevní rotací dochází k uvolnění svalstva a k nahození ramene neboli repozici.


Pro následující manévr (Džanelidze) stačí jeden ošetřující, ale je nutný schod v terénu. Postižený leží na břiše, paže visí přes hranu schodu, kamenné zídky nebo padlého stromu, podle okolností. Poraněnou končetinu zatížíme. Můžeme použít helmu, kterou postižený drží v ruce nebo je připevněná k jeho zápěstí. Postupně ji zatěžujeme kameny. Tím dojde opět k uvolnění svalstva a zevní rotací k spontánní repozici.


Třetím manévrem je Arlt. Postižený sedí bokem na židli s vyšším opěradlem, vykloubená ruka visí přes opěradlo. Ruka je pokrčená v lokti a k repozici dojde tahem za končetinu v ose pažní kosti. Nevýhodou tohoto manévru je absence vhodných židlí kolem řek.
Můžeme si však pomoci kajakářským pádlem. Podsuneme ho do podpaží a mírným tahem za paži a pozdvihnutím pádla dojde k repozici.
Hippokratův manévr – postižený leží na zádech, ošetřující přisedne, patu zasune přes polštář do podpaží, táhne za nataženou končetinu a současně patou tlačí do podpaží – spíš do strany k pažní kosti. 

Občas dochází k tomu, že se kloub po první luxaci příliš uvolní a rameno vypadává příliš lehce a opakovaně, dochází k recidivujícím luxacím, a to hlavně u mladých sportovců. V současné době je považována už třetí luxace jako jasná indikace k podstoupení arthroskopie a je nutné zvážit operaci, která kloubní pouzdro zesílí.
Oldřich vypráví:
Jedu si s Gulim Kali Gandaki na kajaku a převrátím se na peřeji Velkej bratr. Rovnám si pádlo na šrouba od předu, najednou mi něco dole rve pádlo z ruky a já ho nechci pustit. Cejtím bolest v rameni a nemůžu s ním pohnout. Pak přijde rána o šutr. Dávám ještě polopokus zvednout na druhý straně, ale ucink jsem si bolestí do trenek. Je to krysa, a plavání mi nejde. Chytají mě nepálský kajakáři, kteří nasedali pod peřejí. Koukám na rameno, hlavice humeru je venku. Nemohl jsem stát, sedět, ležet, nic jen bolest a zima. Guli s klukama z raftu mě zabalili a nalejvali slivovicí. Piju jak duha, tuším, co mě čeká… Pak dovesloval Bob, ležím na zádech, paži na Ježíše. Doktorka Šušu (MUDr. Šťastná) na mně sedí, Bob se mi nohou zapře o podpaží a tahá. Chvíli se nic neděje, pak to tam najednou zapadlo. Kam se hrabou další čisté radosti mého života! Prej jsem moc neřval, ale mně to tak nepřišlo. Pak najednou tečou slzy, úleva, ale bolí to furt. Tři dny se zafixovanou rukou pod vestou jedu dolů na raftu, hulím, abych si tu krásu Himaláje alespoň trochu vychutnal. S ramenem jsem si ještě došel do Annapurna base campu a pak se projel na střeše místní socky zpět do Pokhary. KTM mě nechtěli přebukovat let, ale za 100 $ se dali podplatit. Do špitálu jsem se dostal za 15 dní. Ještěže bylo vynalezený hulení a Vojtova teorie reflexní lokomoce! Teď, po třech měsících, jedu posilovat na veslovacím raftu do Grand Canyonu. Tak uvidíme.
Robert vypráví:
O vrácení vyhozeného ramene jsme toho už hodně namluvili, ale akce žádná, tak jsem byl poměrně rád, že to můžeme vyzkoušet.
Evakuace do nemocnice byla sice možná, asi do 24 hodin, avšak velmi fyzicky a logisticky náročná. Rozhodli jsme se pro nápravu na místě. Ze dvou vodáckých variant – zátěž pomocí přilby a kamenů nebo postupný tah a varianta ručně – jsme se rozhodli pro tu druhou. Vnější poškození nebylo patrné, dislokace ramene zřetelná, souhlas pokusné osoby po zhodnocení situace rychle dosažen. Poraněný ležel na zádech, poměrně pohodlně, do půl pasu obnažen, vyprávěl anekdoty. Aplikovali jsme analgetikum v té nejpříjemnější a rychlé formě (slivovici + brufen) a rozmístili pomocný personál, fotografy a diváky. Odborný dohled MUDr. Šťastná kontrolovala pozici paže během zákroku, Guli radil a hrubé násilí jsem obstaral já. Paže mírně vytočená dlaní ven, do podpaží noha v neoprence s polštářkem (ani už nevím, co to bylo), ruku sevřít nad zápěstím a pomalým záklonem táhnout paži podél těla s úhlem cca 30 °.
Podle teorie má paže zaskočit do mezipolohy, ale je třeba ještě potáhnout, dokud nezaskočí podruhé, zřetelněji (lze pozorovat úlevu na tváři raněného). V tomto případě zaskočila hned pořádně. Přítomný lékař zkontroloval výsledek, všechny nás pochválil a daroval pacientovi malý dárek na památku. Ihned po „operaci“ jsme zafixovali rameno do závěsu a k tělu a nasadili plovačku. S mírně nalitým pacientem na raftu jsme popojeli k nejbližšímu kempu (řeka už nebyla exponovaná).
Rád bych tímto poděkoval za všechny zúčastněné MUDr. Šťastné, neboť vykonávat násilí pod odborným dohledem je hnedka jiný kafe.
Z pohledu odborníka:
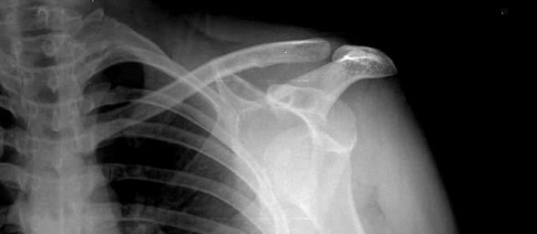
Luxace ramenního kloubu je poměrně bolestivé poranění a nejčastější luxací vůbec. To je dáno výrazným nepoměrem velikosti kloubní jamky na lopatce a hlavičky kosti pažní. Celé skloubení je tedy prakticky drženo jen vazy kloubního pouzdra, svaly a jejich šlachami (tzv. rotátorová manžeta).
Prvotní vymknutí hlavičky kosti pažní je vždy doprovázeno rupturami (roztržením) kloubního pouzdra, defekty vazů, otokem a výraznou bolestivostí, výjimečné nejsou ani zlomeniny hlavice humeru či okrajů kloubní jamky.
K repozici v podmínkách zdravotnického zařízení se přistupuje v celkové či alespoň lokální anestezii, samozřejmě po kontrole na RTG. Následné znehybnění by nemělo být kratší než dva týdny. Zlomeniny musí být vždy řešeny operativně.
Zejména u mladších jedinců se setkáváme se sníženou stabilitou kloubu a recidivujícími reluxacemi, ty pak mohou být vyvolány i banálními pohyby (oblékání, plavání…), mezi další komplikace patří omezení hybnosti ramene, poškození nervů a lokálního prokrvení. Revize lékaře po repozici luxace v polních podmínkách by tedy neměla být kvůli riziku těchto komplikací zbytečně oddalována.

Podívejte se na inspirační video.
Článek vyšel ve 2. čísle HYDROmagazínu 2009.
V článku jsem nepostřehl podstatnou maličkost. Při přímém úderu do ramene nebo do paže může dojít k poškození hlavice kosti pažní. Následné agresivní manévry s paží mohou způsobit poškození cév a nervů. Z posledních let mám zdokumentovány dva případy, které se navenek jevily jako obvykle vykloubené rameno. Podlitiny a následné RTG ukázaly poškození hlavice kosti pažní. Rozhodně nedoporučuji „nahazovat“ rameno u všech nárazů do paže a v okamžiku, kdy nemohu postiženého vizuálně zkontrolovat bez oblečení. Zde popisované agresivní metody repozice mohou způsobit nevratná poškození.